예쁜치아 | 치아미백
서울235치과, 하얗고 건강한 치아미백을 위해
오직 정품미백제와 특수 광선을 이용하여 시술을 진행합니다.
#누렁니 #치아변색 #황니 #치아화이트닝 #이빨미백
예쁜치아
치아미백
서울235치과, 하얗고 건강한 치아미백을 위해 오직
정품미백제와 특수 광선을 이용하여 시술을 진행합니다.
#누렁니 #치아변색 #황니 #치아화이트닝 #이빨미백
Teeth Whitening
치아미백
서울235치과의 전문가 치아미백으로
환한 미소를 되찾으세요.
서울235치과의 치아미백 시술은
식약처 인증받은 안전한 정품 미백제를 사용하며,
특수광선을 통해 미백효과를 극대화하고 있습니다.
Teeth Whitening's Speciality
치아미백 차별점
Recommended Types for Teeth Whitening
치아미백 추천 대상
색상 문제가 있는 치아
치아가 전반적으로 노랗거나 어두워
심미적 문제가 있는 경우
라미네이트/앞니크라운 준비
라미네이트/앞니크라운 시술을
앞둔 경우, 미백을 통해 전체적인
치아 색상톤을 정리할 수 있음
여러 이유로 변색된 치아
커피, 와인, 흡연 등
여러 이유로 인해 변색된 치아를
다시 밝게 만들고 싶은 경우
Teeth Whitening Process
치아미백 과정
STEP 01
검진 및 상담
상담/검진을 통해 현재 환자분의 증상, 개선점을 파악하며 치아미백 치료의 적용 여부, 방향성을 정합니다.
STEP 02
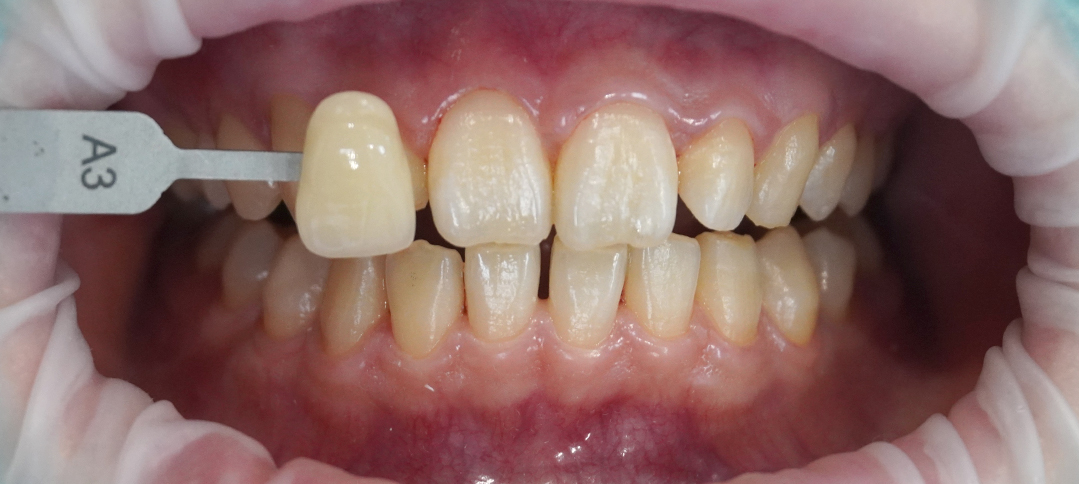
치아색상 측정
현재 치아가 가진 색상을 측정하며,
어느 정도의 미백을 진행할지 결정합니다.
STEP 03
치면세마 후 치아미백 2회
우선 미백을 진행하기에 앞서 *치면세마를 진행합니다.
이후 안전한 미백제를 통해 치아미백을 진행하게 되며 특수광을 통해 그 효과를 극대화하는 과정을 거칩니다.
*치면세마 : 치아 표면의 세균막, 치석, 외인성 착색물 등의
요인을 제거하고, 표면을 활택하게 연마하는 것
STEP 04
치면세마 후 치아미백 2회
치면세마 후 치아미백 2회를 한 번 더 진행합니다.
Teeth Whitening Cases
치아미백 사례
서울235치과에서 진행한 치아미백의 사례입니다.
Teeth Whitening FAQ
치아미백 FAQ
Teeth Whitening
치아미백
서울235치과의 전문가 치아미백으로 환한 미소를 되찾으세요.
서울235치과의 치아미백 시술은 식약처 인증받은 안전한 정품 미백제를 사용하며,
특수광선을 통해 미백효과를 극대화하고 있습니다.
Teeth Whitening's Speciality
치아미백 차별점
Recommended Types for Teeth Whitening
치아미백 추천 대상
색상 문제가 있는 치아
치아가 전반적으로 노랗거나 어두워
심미적 문제가 있는 경우
라미네이트/앞니크라운을 준비
라미네이트/앞니크라운 시술을 앞둔 경우,
미백을 통해 전체적인 치아 색상톤을 정리할 수 있음
여러 이유로 변색된 치아
커피, 와인, 흡연 등 여러 이유로 인해
변색된 치아를 다시 밝게 만들고 싶은 경우
Teeth Whitening Process
치아미백 과정
STEP 01
검진 및 상담
상담/검진을 통해 현재 환자분의 증상, 개선점을 파악하며
치아미백 치료의 적용 여부, 방향성을 정합니다.
STEP 02
치아색상 측정
현재 치아가 가진 색상을 측정하며,
어느 정도의 미백을 진행할지 결정합니다.
STEP 03
치면세마 후 치아미백 2회
우선 미백을 진행하기에 앞서 *치면세마를 진행합니다.
이후 안전한 미백제를 통해 치아미백을 진행하게 되며
특수광을 통해 그 효과를 극대화하는 과정을 거칩니다.
*치면세마 : 치아 표면의 세균막, 치석, 외인성 착색물 등의
요인을 제거하고, 표면을 활택하게 연마하는 것
STEP 04
치면세마 후 치아미백 2회
치면세마 후 치아미백 2회를 한 번 더 진행합니다.
Teeth Whitening Cases
치아미백 사례
서울235치과에서 진행한
치아미백의 사례입니다.
Teeth Whitening FAQ
치아미백 FAQ

서울235치과의원 대표원장 : 김효겸 사업자등록번호 : 101-36-14941
전화 : 031-8034-4770 Email : seoul235dent@naver.com
경기도 남양주시 오남읍 진건오남로 622-5, 2층 (두루빌딩)
따라서 치아미백을 받기 전에는 의사와 충분한 상담을 하고, 치아 상태에 맞는 적절한 방법을 선택하는 것이 중요합니다.
또한, 치아의 착색물질이 너무 강한 경우에는 치아미백이 효과적이지 않을 수 있으며, 이 경우에는 추가적인 치료가 필요할 수 있습니다. 따라서, 치아미백을 할 때 전문가의 조언을 듣고, 치아 상태에 맞는 적절한 방법을 선택하는 것이 중요합니다.