
안녕하세요. 서울235치과의 김효겸대표원장입니다.
앞니가 흔들리거나 통증이 느껴져 내원하시는 분들의 가장 큰 걱정은
아마 '앞니를 뽑게 되지는 않을까' 하는 두려움일 것입니다.
하지만 막상 발치 진단을 받고 나면
더 큰 현실적인 고민이 생깁니다.
바로 치료 후에 "가짜 치아처럼 보이지는 않을까" 하는 심미적인 걱정입니다.
오늘은 앞니 통증의 원인과 함께,
발치 후에도 원래 내 치아처럼 자연스러운 결과를 만들기 위해
반드시 고려해야 할 잇몸 재건 전략에 대해 말씀드리겠습니다.
1. 씹을 때 느껴지는 찌릿한 통증, 치근 파절의 신호일 수 있습니다
앞니로 무언가를 씹거나 뗄 때 소스라치게 놀랄 정도로 찌릿한 앞니통증이 반복된다면,
이는 치아 내부가 감당할 수 있는 한계를 넘었다는 신호일 수 있습니다.
육안으로는 표면에 가느다란 실금만 보일지 몰라도,
정밀 진단을 해보면 치아 뿌리까지 사선으로
완전히 갈라진 치근 파절 상태인 경우도 있죠.

뿌리가 파절 된 치아는 안타깝게도 현대 의학으로 다시 붙일 방법이 없습니다.
이를 방치하면 세균이 갈라진 틈으로 침투해
주변 잇몸 뼈까지 녹이기 때문에,
앞니통증이 반복된다면 더 큰 손상을 막기 위해
발치를 결정해야 할 때가 있습니다.
2. 임플란트 대신 앞니 브릿지가 전략적으로 유리한 경우
보통 치아를 뽑으면 무조건 임플란트를 떠올리시지만,
앞니의 경우 환자분의 구강 상태에 따라
브릿지 치료가 더 좋은 대안이 될 수 있습니다.
예를 들어, 발치할 치아 옆의 치아들도 이미 균열이 심하거나 마모가 진행되어
형태와 색상이 좋지 않은 상황이라면 더욱 그렇습니다.

이런 경우 임플란트만 단독으로 심으면 주변의 낡고 변색된 치아들과
조화가 깨져 치료한 부위만 유독 눈에 띄게 됩니다.
이때는 주변 치아까지 통합적으로 디자인하는 브릿지 치료를 통해
전체적인 치아 형태를 균형 있게 맞추는 것이
심미적으로 훨씬 자연스러운 결과를 가져옵니다.
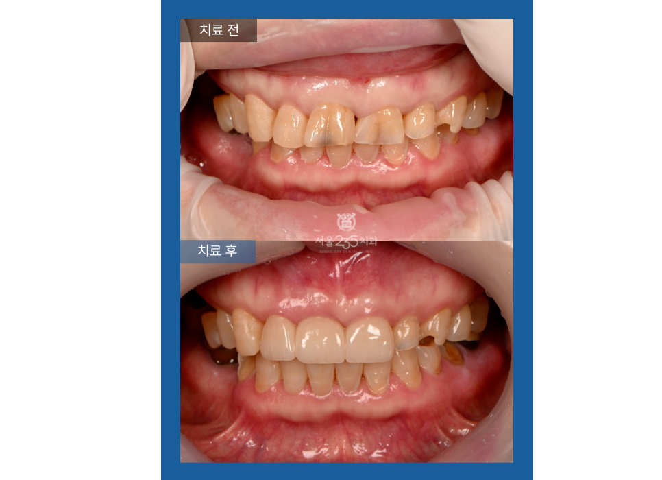
3. 보철물이 길어지는 부작용을 막는 CTG(잇몸이식술)의 역할
앞니 발치 후 가장 곤란한 문제는 시간이 흐르면서
잇몸의 볼륨이 푹 꺼진다는 점입니다.
잇몸이 함몰된 상태에서 그대로 보철물을 제작하면,
빈 공간을 메우기 위해 치아 모양을
위아래로 길게 만들 수밖에 없습니다.
이것이 바로 치료 후 치아가 부자연스럽게
길어 보이는 근본적인 원인입니다.
저희는 이런 부작용을 방지하기 위해
CTG(결합조직이식술)를 병행하곤 합니다.

결합조직 이식술 특징1 : 잇몸 볼륨 재건
입천장에서 채취한 자가 조직을 이식해
사라진 잇몸 두께를 회복시킵니다.
결합조직 이식술 특징2 : 자연스러운 물결무늬 형성:
잇몸이 치아를 안정적으로 감싸도록 유도하여,
보철물을 올렸을 때 원래 치아와 같은 가로세로 비율을 만들어줍니다.

그 결과 치료한 치아의 가로세로 비율이 딱 맞는
안정적인 라인을 완성한 모습을 볼 수 있습니다.
치료기간 : 25.06.27~25.12.19
(환자동의하에공개되는동일조건의 임상 사진입니다)
4. 보철물과 잇몸의 조화가 치료의 성패를 결정합니다
소실된 잇몸을 원래의 높이와 두께로 다시 만드는 과정은
치과의사 입장에서도 상당히 정교한 집중력이 필요한 작업입니다.
하지만 이 과정을 소홀히 하면 아무리 비싸고 좋은 재료로
보철물을 만들어도 결코 자연스러움을 회복할 수 없습니다.
단순히 치아 하나를 해 넣는 것에 그치지 않고,
치료 후 5년, 10년 뒤에도 잇몸 라인이 건강하게 유지될 수 있는지 고민해야 합니다.
지금 앞니 통증이나 파절로 치료를 고민하고 계신다면,
치아의 형태뿐만 아니라 이를 담아주는 잇몸의 볼륨까지 정밀하게
진단하는 곳에서 충분한 상담을 받아보시길 바랍니다.
안녕하세요. 서울235치과의 김효겸대표원장입니다.
앞니가 흔들리거나 통증이 느껴져 내원하시는 분들의 가장 큰 걱정은
아마 '앞니를 뽑게 되지는 않을까' 하는 두려움일 것입니다.
하지만 막상 발치 진단을 받고 나면
더 큰 현실적인 고민이 생깁니다.
바로 치료 후에 "가짜 치아처럼 보이지는 않을까" 하는 심미적인 걱정입니다.
오늘은 앞니 통증의 원인과 함께,
발치 후에도 원래 내 치아처럼 자연스러운 결과를 만들기 위해
반드시 고려해야 할 잇몸 재건 전략에 대해 말씀드리겠습니다.
1. 씹을 때 느껴지는 찌릿한 통증, 치근 파절의 신호일 수 있습니다
앞니로 무언가를 씹거나 뗄 때 소스라치게 놀랄 정도로 찌릿한 앞니통증이 반복된다면,
이는 치아 내부가 감당할 수 있는 한계를 넘었다는 신호일 수 있습니다.
육안으로는 표면에 가느다란 실금만 보일지 몰라도,
정밀 진단을 해보면 치아 뿌리까지 사선으로
완전히 갈라진 치근 파절 상태인 경우도 있죠.
뿌리가 파절 된 치아는 안타깝게도 현대 의학으로 다시 붙일 방법이 없습니다.
이를 방치하면 세균이 갈라진 틈으로 침투해
주변 잇몸 뼈까지 녹이기 때문에,
앞니통증이 반복된다면 더 큰 손상을 막기 위해
발치를 결정해야 할 때가 있습니다.
2. 임플란트 대신 앞니 브릿지가 전략적으로 유리한 경우
보통 치아를 뽑으면 무조건 임플란트를 떠올리시지만,
앞니의 경우 환자분의 구강 상태에 따라
브릿지 치료가 더 좋은 대안이 될 수 있습니다.
예를 들어, 발치할 치아 옆의 치아들도 이미 균열이 심하거나 마모가 진행되어
형태와 색상이 좋지 않은 상황이라면 더욱 그렇습니다.
이런 경우 임플란트만 단독으로 심으면 주변의 낡고 변색된 치아들과
조화가 깨져 치료한 부위만 유독 눈에 띄게 됩니다.
이때는 주변 치아까지 통합적으로 디자인하는 브릿지 치료를 통해
전체적인 치아 형태를 균형 있게 맞추는 것이
심미적으로 훨씬 자연스러운 결과를 가져옵니다.
3. 보철물이 길어지는 부작용을 막는 CTG(잇몸이식술)의 역할
앞니 발치 후 가장 곤란한 문제는 시간이 흐르면서
잇몸의 볼륨이 푹 꺼진다는 점입니다.
잇몸이 함몰된 상태에서 그대로 보철물을 제작하면,
빈 공간을 메우기 위해 치아 모양을
위아래로 길게 만들 수밖에 없습니다.
이것이 바로 치료 후 치아가 부자연스럽게
길어 보이는 근본적인 원인입니다.
저희는 이런 부작용을 방지하기 위해
CTG(결합조직이식술)를 병행하곤 합니다.
결합조직 이식술 특징1 : 잇몸 볼륨 재건
입천장에서 채취한 자가 조직을 이식해
사라진 잇몸 두께를 회복시킵니다.
결합조직 이식술 특징2 : 자연스러운 물결무늬 형성:
잇몸이 치아를 안정적으로 감싸도록 유도하여,
보철물을 올렸을 때 원래 치아와 같은 가로세로 비율을 만들어줍니다.
그 결과 치료한 치아의 가로세로 비율이 딱 맞는
안정적인 라인을 완성한 모습을 볼 수 있습니다.
치료기간 : 25.06.27~25.12.19
4. 보철물과 잇몸의 조화가 치료의 성패를 결정합니다
소실된 잇몸을 원래의 높이와 두께로 다시 만드는 과정은
치과의사 입장에서도 상당히 정교한 집중력이 필요한 작업입니다.
하지만 이 과정을 소홀히 하면 아무리 비싸고 좋은 재료로
보철물을 만들어도 결코 자연스러움을 회복할 수 없습니다.
단순히 치아 하나를 해 넣는 것에 그치지 않고,
치료 후 5년, 10년 뒤에도 잇몸 라인이 건강하게 유지될 수 있는지 고민해야 합니다.
지금 앞니 통증이나 파절로 치료를 고민하고 계신다면,
치아의 형태뿐만 아니라 이를 담아주는 잇몸의 볼륨까지 정밀하게
진단하는 곳에서 충분한 상담을 받아보시길 바랍니다.