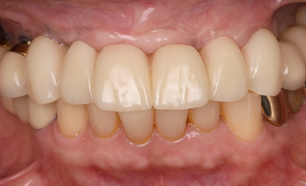
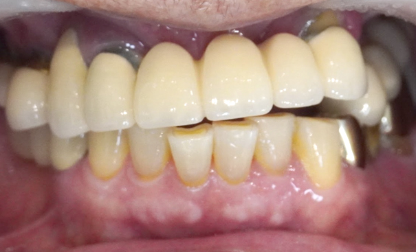
Reoperation Implant
재수술 임플란트
재수술 임플란트, 연조직을 다룰 수 있어야 하고
이런 치과의사는 굉장히 드뭅니다.
임플란트 재수술은 여러 요인들로 인해 기존에 식립된 임플란트를
제거하고 다시 새로운 임플란트를 식립하는 치료입니다.
실패한 임플란트로 인해 녹아내린 뼈와 함께 파괴된 연조직까지
다시 이식을 통해 재건해야하기 때문에, 보통의 임플란트 수술에
비해 치료기간도 길고 난이도 또한 훨씬 어렵습니다. 따라서 연조직을
다룰 수 있는 치과의사에게 재수술 임플란트를 받아야 합니다.



