Incisor Implant
앞니 임플란트
앞니 임플란트, 예쁜 치아는 물론
얼굴의 생김새와 교합까지 신경써야 합니다.
앞니 임플란트는 심미성, 기능성 모두 중요합니다.
대체적으로 뼈가 얇고 잇몸까지 적절하게 다뤄야 하기 때문에
의사의 충분한 경험과 테크닉이 필요한 난이도 높은 치료입니다.
서울235치과 앞니 임플란트는 단순히 앞니만 보는게 아닌
잇몸라인, 이상적인 교합까지 고려하여 웃음을 되찾아 드립니다.
임플란트
앞니 임플란트
앞니 임플란트는 자연스러운 미소와 이상적인 교합을 통해 환자의 자신감을 회복시켜 드립니다.
정교한 시술로 잇몸과 치아의 조화를 이루어 아름답고 편안한 결과를 제공합니다.
#앞니상실 #앞니발치 #앞니당일임시치아 #앞니임시치아
임플란트
앞니 임플란트
앞니 임플란트는 자연스러운 미소와 이상적인 교합을
통해 환자의 자신감을 회복시켜 드립니다.
정교한 시술로 잇몸과 치아의 조화를 이루어
아름답고 편안한 결과를 제공합니다.
#앞니상실 #앞니발치 #앞니당일임시치아 #앞니임시치아
Incisor Implant
앞니 임플란트
앞니 임플란트, 예쁜 치아는 물론
얼굴의 생김새와 교합까지 신경써야 합니다.
앞니 임플란트는 심미성, 기능성 모두 중요합니다.
대체적으로 뼈가 얇고 잇몸까지 적절하게 다뤄야 하기 때문에
의사의 충분한 경험과 테크닉이 필요한 난이도 높은 치료입니다.
서울235치과 앞니 임플란트는 단순히 앞니만 보는게 아닌
잇몸라인, 이상적인 교합까지 고려하여 웃음을 되찾아 드립니다.
Incisor Implant's Speciality
앞니 임플란트의 차별점
Incisor Implant Process
앞니 임플란트 치료과정
STEP 01
진단 및 3D 구강 스캔
진단/상담 및 시뮬레이션에 필요한 페이셜 스캔, CT 및 3D구강스캔 데이터 자료를 수집합니다. 수집한 자료를 통하여 상담 및 시뮬레이션 또한 진행합니다.
STEP 02
발치즉시 임플란트와 잇몸이식
발치 즉시 임플란트를 식립한 후, 발치 후 잇몸꺼짐을 최소화하기 위해 잇몸이식을 진행합니다. 즉시임시치아 제작을 위한 구강스캔을 합니다.
STEP 03
소독 및 즉시임시치아 세팅
수술 후 바로 일상생활이 가능하도록 즉시임시치아를 올립니다. 이 때 임시치아의 형태에 따라서 잇몸의 형태가 그에 맞춰 회복되도록 유도합니다.
당장의 사회생활에 필요한 심미적 역할을 하기 때문에 바로 음식을 씹는 등의 기능을 할 수는 없지만, 2~3개월 후 교체하는 점검용 임시치아로는 음식을 씹으실 수 있습니다.
STEP 04
2차 점검용 임시치아 장착
2~3개월 후, 최종 치아 전 2번째 임시치아를 다시 제작하여 장착합니다.
2차 임시치아에서는 앞니로 음식을 먹거나 끊어먹는 등의 기능적인 측면도 체크합니다. 충분히 사용을 해보며 적응결과를 관찰하고 환자분의 피드백을 반영하여 최종치아를 제작합니다.
STEP 05
최종 치아 세팅
2차 임시치아 세팅 2~4주 뒤, 환자분의 피드백을 반영한 최종 보철물을 제작합니다. 이후 최종보철물을 장착하여 임플란트를 마무리합니다.
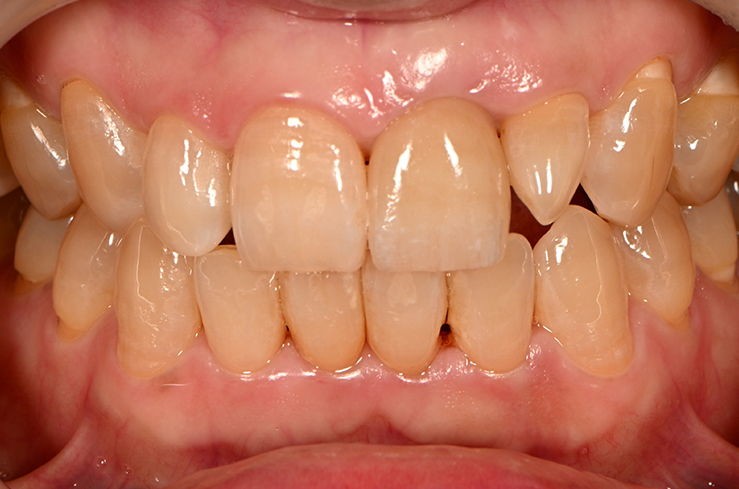
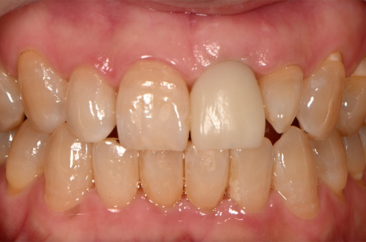
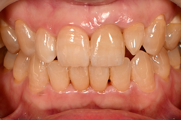
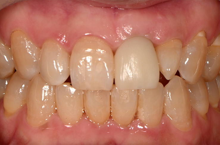
앞니 임플란트 케이스
서울235치과의 수많은 앞니 임플란트 증례입니다.
김효겸 대표원장님은 치과종사자들을
대상으로 ‘앞니 임플란트 & 즉시임시치아’에
대한 노하우를 강연했습니다.
Incisor Implant Cases
앞니 임플란트 사례
서울235치과에서 진행한 앞니 임플란트의 사례입니다.
Incisor Implant FAQ
앞니 임플란트 FAQ
Incisor Implant
앞니 임플란트
앞니 임플란트, 예쁜 치아는 물론 얼굴의 생김새와 교합까지 신경써야 합니다.
앞니 임플란트는 심미성, 기능성 모두 중요합니다. 대체적으로 뼈가 얇고
잇몸까지 적절하게 다뤄야 하기 때문에 의사의 충분한 경험과 테크닉이 필요한 난이도 높은 치료입니다.
서울235치과 앞니 임플란트는 단순히 앞니만 보는게 아닌 잇몸라인, 이상적인 교합까지 고려하여 웃음을 되찾아 드립니다.
Incisor Implant's Speciality
앞니 임플란트의 차별점
Incisor Implant Process
앞니 임플란트 치료과정
STEP 01
진단 및 3D 구강 스캔
진단/상담 및 시뮬레이션에 필요한 페이셜 스캔,
CT 및 3D구강스캔 데이터 자료를 수집합니다.
수집한 자료를 통하여 상담 및 시뮬레이션 또한 진행합니다.
STEP 02
발치즉시 임플란트와 잇몸이식
발치 즉시 임플란트를 식립한 후,
발치 후 잇몸꺼짐을 최소화하기 위해 잇몸이식을 진행합니다.
이후 즉시임시치아 제작을 위한 구강스캔을 합니다.
STEP 03
소독 및 즉시임시치아 세팅
수술 후 바로 일상생활이 가능하도록 즉시임시치아를 올립니다.
이 때 임시치아의 형태에 따라서 잇몸의 형태가 그에 맞춰 회복되도록
유도합니다. 당장의 사회생활에 필요한 심미적 역할을 하기 때문에
바로 음식을 씹는 등의 기능을 할 수는 없지만, 2~3개월 후 교체하는
점검용 임시치아로는 음식을 씹으실 수 있습니다.
STEP 04
2차 점검용 임시치아 장착
2~3개월 후, 최종 치아 전 2번째 임시치아를 다시 제작하여 장착합니다.
2차 임시치아에서는 앞니로 음식을 먹거나 끊어먹는 등의
기능적인 측면도 체크합니다. 충분히 사용을 해보며 적응결과를
관찰하고 환자분의 피드백을 반영하여 최종치아를 제작합니다.
STEP 05
최종 치아 세팅
2차 임시치아 세팅 2~4주 뒤,
환자분의 피드백을 반영한 최종 보철물을 제작합니다.
이후 최종보철물을 장착하여 임플란트를 마무리합니다.
앞니 임플란트 케이스
서울235치과의 수많은 앞니 임플란트 증례입니다.
김효겸 대표원장님은 치과종사자들을 대상으로
‘앞니 임플란트 & 즉시임시치아’에 대한 노하우를 강연했습니다.
Incisor Implant Cases
앞니 임플란트 사례
서울235치과에서 진행한
앞니 임플란트의 사례입니다.
Incisor Implant FAQ
앞니 임플란트 FAQ
의사가 힘들더라도 환자가 편하게, 노력과 비용을
아끼지 않는, 먼 미래까지 생각하는 진료
서울235치과 임플란트 철학
철저한 사후관리에 초점
오래 쓸 수 있는 임플란트
모든 수술에 네비게이션 적용
빠르고 통증 적은 임플란트
심미적 기능을 놓치지 않는
예뻐지는 임플란트
환자가 편하다면 의사가 불편하더라도, 우수한 품질의 치료, 먼 미래를 바라보는 진료
서울235치과의 임플란트 철학
철저한 사후관리에 초점
오래 쓸 수 있는 임플란트
정밀하게 제작된 수술 가이드
빠르고 통증 적은 임플란트
심미적 기능을 놓치지 않는
예뻐지는 임플란트

서울235치과의원 대표원장 : 김효겸 사업자등록번호 : 101-36-14941
전화 : 031-8034-4770 Email : seoul235dent@naver.com
경기도 남양주시 오남읍 진건오남로 622-5, 2층 (두루빌딩)
임플란트 하는 앞니 갯수가 많을수록 교정이 원활하고 변화가 크기 때문에 더 만족스러운 효과를 볼 수 있습니다.
임시치아는 당장의 사회생활에 필요한 심미적, 기능적 역할을 합니다.
2~3개월 후 교체한 점검용 임시치아로는 음식을 씹을 수 있습니다.
잇몸성형은 난이도 높은 술식인데, 서울235치과에서는 다수의 경험을 바탕으로 잇몸라인이 비대칭이거나 성형, 혹은 이식이 필요한 경우 임플란트와 같이 시행하기도 합니다.
첫째, 임플란트 식립 위치 때문입니다. 저희는 가이드를 사용해 정확히 입천장쪽으로 식립을 하여 이를 방지합니다.
둘째, 잇몸과 뼈의 양이 적기 때문입니다. 이런 경우는 뼈이식과 잇몸이식을 병행하고 있습니다.
https://blog.naver.com/howsitgoin/223515929175