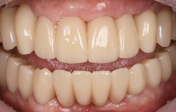
Denture Implant
전체 임플란트
전체 임플란트, 단순히 치아가 생기는
것뿐만 아니라 예뻐져야 합니다.
서울235치과 전체 임플란트는 페이셜 스캔, CT, 3D구강스캔
3가지 데이터를 기반으로 진단상담(모의치료 시뮬레이션)을 해
치료 전후를 미리 예상해볼 수 있고, 기능적/심미적 개선을
통해 드라마틱한 얼굴 변화를 얻을 수 있습니다.
또 직접 제작한 네비게이션 가이드를 이용해
수술하기 때문에 절개량이 작아 출혈과 통증이 적고,
정확하고 안전하게 식립 가능합니다.

최종 치아 위치 먼저 결정 -> 식립
먼저 뼈 있는 곳 식립 -> 최종 치아 올림

정확한 기간은 내원하셔서 진단 상담 후 안내 가능합니다.
단, 상악은 뼈가 무른 경우에는 임시틀니를 사용하다가 적어도 3개월 이후에 임시치아로 교체할 수 있습니다.
교합과 교정에 대해서 잘 알고 있는 치과의사가 기능적이면서 심미적인 치아배열에 유리하다고 볼 수 있습니다.