예쁜치아 | 심미레진
손상부위를 최소삭제 후 고강도 레진으로 섬세하게 쌓아올려
자연치아와 가깝게 복구하는 난이도 높은 심미 복원 치료입니다.
#레진치료 #치아레진 #앞니레진 #레진빌드업
#앞니벌어짐 #앞니깨짐 #앞니충치
예쁜치아
심미레진
손상부위를 최소삭제 후 고강도 레진으로 섬세하게
쌓아올려 자연치아와 가깝게 복구하는
난이도 높은 심미 복원 치료입니다.
#레진치료 #치아레진 #앞니레진 #레진빌드업
#앞니벌어짐 #앞니깨짐 #앞니충치
Aesthetic Resin
심미레진
치아 삭제량은 줄이고, 자연치아처럼
예쁘게 복원하는 심미레진
치아가 부서지거나 깨진다면, 인레이나 크라운을 해야할까
고민하시는 경우가 많습니다. 이때 인레이나 크라운 대신
레진 빌드업으로 치료하는 것이 가능합니다.
Aesthetic Resin's Advantage
심미레진의 장점
Reasons why need Aesthetic Resin
심미레진을 해야하는 이유
심미레진은 인레이에 비해 치아 삭제량이 적고 심미성이 우수합니다.
인레이 대신 심미레진이 가능한 경우라면
심미레진을 하는 것이 자연치아를 보존하는 길입니다.
| 레진 직접수복물 | 인레이 간접수복물 | |
| 삭제량 | 최소 삭제 | 보철 공간까지 삭제 |
| 강도 | 마모에 약함 | 파절에 약함 |
| 치료 난이도 | 복잡하고 까다로움 | 상대적으로 간편함 |
| 술자 | 담당의사가 처음부터 끝까지 진행 | 분업화 (의사, 치위생사, 기공사) |
| 내원횟수 소요시간 | 1회 1시간 ~ 1시간 30분 | 2회 이상 30분 내외 |
| 재치 | 치아 삭제량이 적어 레진 재치료 가능성이 높고 비교적 쉬움 | 파절문제가 생기면 크라운 또는 발치 후 임플란트를 해야하는 경우가 많음 |
레진 (직접수복물) 사진
인레이 (간접수복물) 사진
Reasons why Aesthetic Resin is
a high-end treatment
심미레진이 고급치료인 이유
레진의 접착 강도를 높이고 오래 쓰기 위해선
습도를 완벽하게 차단하는 것이 중요합니다.
레진빌드업 치료 시 isodam을 비롯한 수입산 고가 러버댐을
사용하여 습도를 보다 효과적으로 차단하고
완성도를 높일 수 있습니다.
레진빌드업은 조각을 하는 과정과 비슷합니다.
치아의 해부학적 구조를
한땀한땀 재현하며 쌓아가는 방식이기 때문에
의사의 해부학적 지식과 손기술이 결과에 크게 영향을 미칩니다.
Recommended Types for Aesthetics Resin
심미레진 추천 대상
가벼운 떼우기부터 인레이/크라운 대신 적용 가능한 경우까지,
넓은 범위에 적용할 수 있는 심미레진의 추천 대상입니다.
치아 일부분이 깨진 경우
치아의 일부분이 살짝 깨진 경우
앞니 사이에 충치 발생
앞니의 치아 사이 부분에 충치가 생겨
이 부분을 떼워야 하는 경우
치아 사이에 공간이 있음
앞니 치아 사이에 공간이 있어
심미적 문제가 있는 경우
치아 손상 정도에 따라 적용
치아가 파손되었지만 인레이나
크라운을 적용할 정도는 아닌 경우
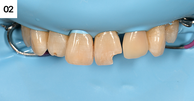
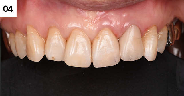
Aesthetics Resin Process
심미레진 치료과정
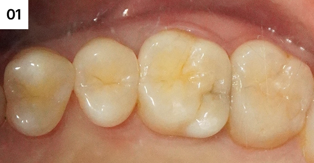
깊은 충치 어금니 - 신경치료&크라운 대신 레진빌드업
환자명 김OO
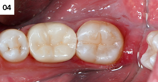
구치부, 깊게 금간 어금니 - 신경치료&크라운 대신 레진빌드업
환자명 서OO
심미레진 치료과정 - 환자명 김OO
Aesthetics Resin Cases
심미레진 사례
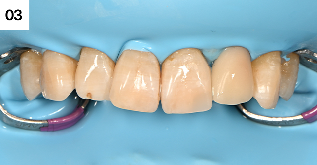
서울235치과에서 진행한 심미레진의 사례입니다.
Aesthetics Resin FAQ
심미레진 FAQ
Aesthetic Resin
심미레진
치아 삭제량은 줄이고, 자연치아처럼 예쁘게 복원하는 심미레진
치아가 부서지거나 깨진다면, 인레이나 크라운을 해야할까 고민하시는 경우가 많습니다.
이때 인레이나 크라운 대신 레진 빌드업으로 치료하는 것이 가능합니다.
Aesthetic Resin's Advantage
심미레진의 장점
Reasons why need Aesthetic Resin
심미레진을 해야하는 이유
심미레진은 인레이에 비해 치아 삭제량이 적고 심미성이 우수합니다.
인레이 대신 심미레진이 가능한 경우라면 심미레진을 하는 것이 자연치아를 보존하는 길입니다.
레진 직접수복물 | 인레이 간접수복물 | |
| ![]() | |
삭제량 | 최소 삭제 | 보철 공간까지 삭제 |
강도 | 마모에 약함 | 파절에 약함 |
치료 난이도 | 복잡하고 까다로움 | 상대적으로 간편함 |
술자 | 담당의사가 처음부터 끝까지 진행 | 분업화 (의사, 치위생사, 기공사) |
내원횟수, 소요시간 | 1회 / 1시간 ~ 1시간 30분 | 2회 이상 / 30분 내외 |
재치료 | 치아 삭제량이 적어 레진 재치료 가능성이 높고 비교적 쉬움 | 파절문제가 생기면 크라운 또는 발치 후 임플란트를 해야하는 경우가 많음 |
Reasons why Aesthetic Resin is a high-end treatment
심미레진이 고급치료인 이유
레진의 접착 강도를 높이고 오래 쓰기 위해선
습도를 완벽하게 차단하는 것이 중요합니다.
레진빌드업 치료 시 isodam을 비롯한 수입산 고가 러버댐을 사용하여
습도를 보다 효과적으로 차단하고 완성도를 높일 수 있습니다.
레진빌드업은 조각을 하는 과정과 비슷합니다.
치아의 해부학적 구조를 한땀한땀 재현하며 쌓아가는 방식이기 때문에
의사의 해부학적 지식과 손기술이 결과에 크게 영향을 미칩니다.
Recommended Types for Aesthetics Resin
심미레진 추천 대상
가벼운 떼우기부터 인레이/크라운 대신 적용 가능한 경우까지,
넓은 범위에 적용할 수 있는 심미레진의 추천 대상입니다.
치아 일부분이 깨진 경우
치아의 일부분이 살짝 깨진 경우
앞니 사이에 충치 발생
앞니의 치아 사이 부분에 충치가 생겨
이 부분을 떼워야 하는 경우
치아 사이에 공간이 있음
앞니 치아 사이에 공간이 있어
심미적 문제가 있는 경우
치아 손상 정도에 따라 적용
치아가 파손되었으나 인레이/크라운을
적용할 정도는 아닌 경우
Aesthetics Resin Process
심미레진 치료과정
Resin Build Up Cases
레진빌드업 사례
서울235치과에서 진행한
레진빌드업의 사례입니다.
Aesthetics Resin FAQ
심미레진 FAQ
| 레진은 치아색 나는 레진을 필요한 부위에 쭉 짜서 떼우는 방식이라면, 레진빌드업은 러버댐으로 습한 환경을 차단 후 고강도 레진으로 치아의 해부학적 구조를 한땀한땀 재현하며 쌓아가는 방식입니다. 따라서, 강도나 심미적인 결과가 차이납니다.
|
| 레진빌드업은 고급러버댐, 수입 레진 등 재료값이 비싸고, 술자의 고도의 심미기술과 오랜시간이 요구되기 때문에 일반레진보다 비용이 비싼 편입니다.
|
| 레진빌드업은 조각을 해 작품을 만드는 과정과 비슷하다고 할 수 있습니다. 치아의 구조물인 상아질과 법랑질을 층층이 쌓아가며 치아의 원래 형태와 모양, 색상을 구현해내야 하는 정교한 작업이기 때문에 1시간이상 소요될 수 있습니다.
|

서울235치과의원 대표원장 : 김효겸 사업자등록번호 : 101-36-14941
전화 : 031-8034-4770 Email : seoul235dent@naver.com
경기도 남양주시 오남읍 진건오남로 622-5, 2층 (두루빌딩)